Исследования показали, что чрезмерное употребление жирной пищи может привести к забиванию желудка остатками продуктов, что в свою очередь вызывает чувство тошноты. Но что делать в такой ситуации? Одним из неожиданных способов оказалась газировка, способная растворить скопление пищи и облегчить состояние пациентки.
Некоторые люди могут испытывать проблемы с пищеварением из-за различных факторов, таких как стресс, неправильное питание или даже медицинские состояния. Поэтому важно знать о необычных, но эффективных методах помощи организму в таких ситуациях. Газировка, благодаря своим свойствам, может стать неожиданным спасением в случае забитого желудка.
Исследования показывают, что газированные напитки оказывают негативное воздействие на организм человека. Недавно врачи применили необычный метод лечения, чтобы избавить женщину от тошноты: они напоили ее диетической колой. Этот случай лишь подтверждает вред, который несут подобные напитки.
Список причин, почему стоит избегать употребления колы и других газированных напитков, включает в себя следующее:
- Повреждение зубов и десен.
- Увеличение риска сердечно-сосудистых заболеваний.
- Вредное воздействие на желудок и поджелудочную железу.
- Повышение уровня холестерина и давления в организме.
- Риск развития ожирения и диабета.
Эти факторы свидетельствуют о том, что употребление газированных напитков может привести к серьезным проблемам со здоровьем в долгосрочной перспективе. Поэтому важно обратить внимание на свой рацион и исключить из него вредные продукты, в том числе и сладкие газированные напитки.
Невзирая на то, что все вокруг насыщено ядом, всегда найдется и лекарство. Интересный случай произошел с 63-летней женщиной из Массачусетса, которая мучилась месяц от тошноты, рвоты и острой боли в верхней части живота, промежности и спины. Начав лечиться домашними средствами от изжоги, она даже не догадывалась, что решение проблемы окажется в неожиданном месте.
Врачи обнаружили, что кола, которую она употребляла в больших количествах, стала причиной ее недомоганий. Помимо этого, женщина столкнулась с обильным стулом, что не соответствовало симптомам кишечной непроходимости. Однако ее живот был незначительно раздут, что указывало на наличие проблем в организме.
Важно помнить, что даже самые обыденные продукты могут вызывать негативные реакции в организме. Поэтому важно внимательно следить за своим здоровьем и реагировать на любые изменения в самочувствии.
Недавно пациентка сообщила о снижении аппетита, хотя за год приема семаглутида она похудела на 18 кг. Однако за последний месяц потеря веса ускорилась.
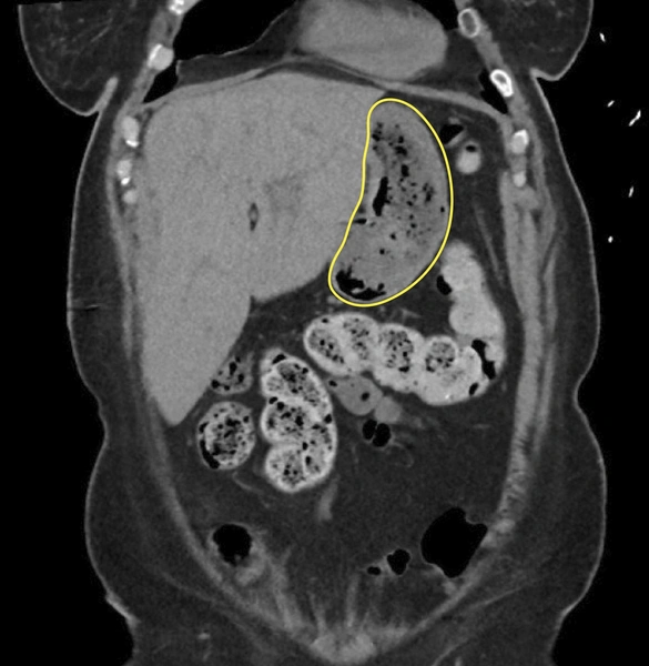
В ходе сканирования методом МРХПГ выявлено образование в желудке, напоминающее скопление воздуха. При эндоскопии обнаружен безоар — комок инородных тел, в данном случае остатков пищи, который не переварился и стал желудочным камнем.
Следует отметить, что снижение аппетита может быть связано не только с приемом препаратов, но и с другими факторами, такими как стресс, нарушения пищеварения или патологии желудочно-кишечного тракта.
В отчете, опубликованном в The New England Journal of Medicine, отмечается, что применение семаглутида может замедлить опорожнение желудка, увеличивая риск образования безоара.
Именно этот факт стал причиной тошноты, рвоты и боли в животе у женщины, о которой идет речь.
Поэтому врачи, обнаружив проблему, сразу же отменили пациентке препарат для похудения.
Подход к лечению был нестандартным: женщину вылечили, напоив ее диетической колой.
Именно такие неожиданные методы помогли избавить пациентку от неприятных симптомов и вернуть ей здоровье.

Врачи столкнулись с необычным случаем — необходимо было избавить пациентку от безоара в желудке. Вместо стандартных методов удаления, они решили применить необычный способ лечения: растворить желудочный камень с помощью колы.
В связи со сахарным диабетом у пациентки, ей была рекомендована диетическая кола. Однако из-за ее нелюбви к подобным напиткам, дозировку 3000 мл колы в течение 12 часов изменили на 1500 мл в сутки. Этот подход позволил достичь желаемого результата без осложнений.
Для твердых и крупных скоплений безоара обычно используют хирургические методы удаления, но в данном случае врачи предпочли эндоскопические методы. Такой подход позволяет минимизировать риск для пациента и обеспечить более быстрое восстановление после процедуры.
Исследования показывают, что кола может оказывать неожиданный эффект на организм. На второй день приема колы пациентка почувствовала тянущее ощущение в животе, но затем тошнота и дискомфорт быстро ушли. Это привело к тому, что повторная эндоскопия не выявила безоара.
По мнению специалистов, кола способна растворять безоары, образовавшиеся из остатков пищи, при условии, что пациент находится в стабильном состоянии. Это необычное воздействие напитка на организм вызвало интерес у медицинского сообщества.
«Выбор этой тактики обусловлен не только экономической эффективностью, но и меньшим риском осложнений по сравнению с другими методами лечения», — поясняют специалисты свои действия.
Важно помнить, что самолечение опасно и недопустимо. В случае отравления или других проблем необходимо обратиться к врачу, а не прибегать к экспериментам. Недавние исследования, проведенные китайскими учеными на животных, показали, что кола может снизить риск отравления свинцом при случайном контакте с загрязненной почвой. Это происходит благодаря содержанию фосфорной кислоты в напитке. Эта кислота способна превращать свинец в нерастворимый осадок, который затем выводится из организма с калом.
- Хотите связаться со мной?




